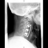
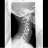
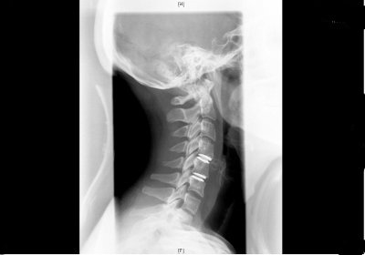
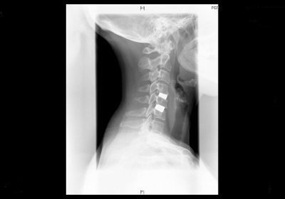
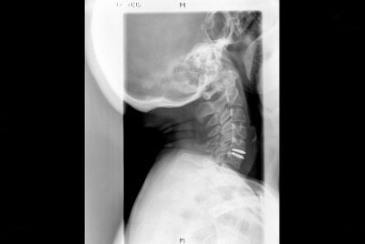
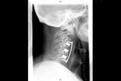
• Tratamiento quirúrgico de la Hernia Discal Cervical (prótesis rígidas y móviles).
  • Microcirugía de la hernia discal lumbar: Tratamiento médico.
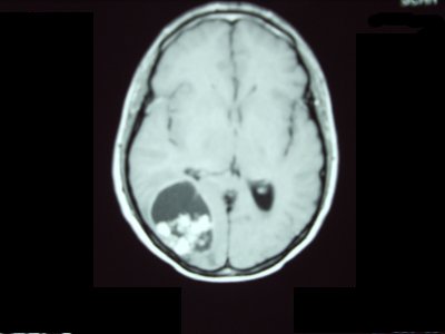
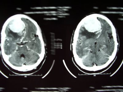
  • Patología tumoral del cerebro y médula espinal.
  • Patología tumoral del raquis.
  • Tratamiento percutáneo de la lumbalgia.
  • Fijación lumbar mínimamente invasiva. Espaciadores interespinosos.
  • Fracturas vertebrales traumáticas y osteoporóticas (cementación).
  • Malformaciones del sistema nervioso central: chiari/siringomielia, hidrocefalia.

 

Imágenes de tratamientos

Columna cervical

Tumores vertebrales y hernia lumbar

Espondilolistesis

Tumores cerebrales

Información de interés

¡CSS Válido!